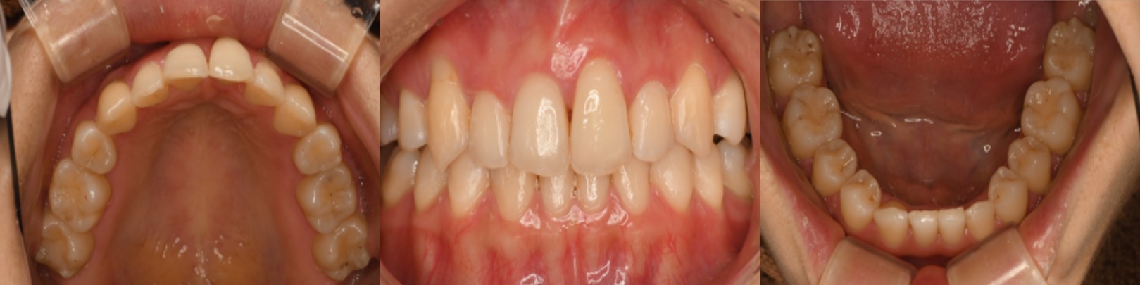
上顎前突
BEFORE

AFTER

| 主訴 | 前歯の出っ張りを改善したい |
|---|---|
| 性別・年齢 | 男性・18才 |
| 治療方法 |
インビザライン・フル
|
| 治療期間 | 7ヶ月 |
| 費用 |
833,200円(当時価格)
|
| リスク・副作用 |
|
SI様正中離開
BEFORE

AFTER

| 主訴 | 前歯のでっぱりを治したい 歯と歯のすき間をうめたい |
|---|---|
| 性別・年齢 | 男性 |
| 治療方法 |
インビザライン・フル
|
| 治療期間 | 10ヶ月 |
| 費用 |
833,200円(当時価格)
|
| リスク・副作用 |
|
AK様
BEFORE

AFTER

| 主訴 | 歯と歯のすき間が気になる すき間を治したい 上の前歯の長さを整えたい |
|---|---|
| 性別・年齢 | 男性 |
| 治療方法 |
インビザライン・ライト
|
| 治療期間 | 3ヶ月 |
| 費用 |
493,020円(当時価格)
|
| リスク・副作用 |
|
RT様
BEFORE

AFTER

| 主訴 | 上下の前歯のねじれを治したい 上の前歯のすき間を治したい |
|---|---|
| 性別・年齢 | 女性 |
| 治療方法 |
インビザライン・フル
|
| 治療期間 | 1年10ヶ月 |
| 費用 |
833,200円(当時価格)
|
| リスク・副作用 |
|
AM様
BEFORE

AFTER

| 主訴 | 上下の前歯のでこぼこを治したい |
|---|---|
| 性別・年齢 | 女性 |
| 治療方法 |
インビザライン・フル
|
| 治療期間 | 2年 |
| 費用 |
833,200円(当時価格)
|
| リスク・副作用 |
|
